
0% INTEREST FREE FINANCE AVAILABLE
Dental Implants: A Reliable and Effective Solution for Missing Teeth.



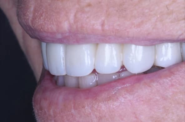
Watch Natalia talking about Implants
Dental implants offer a natural-looking and steadfast replacement for missing teeth, restoring not only the aesthetics of your smile but also your ability to eat and speak with ease. Unlike removable dentures, dental implants are anchored firmly in your jawbone, which makes them as stable and comfortable as your natural teeth.
This treatment option is exceptional for several reasons. Firstly, dental implants help preserve your jaw bone. When a tooth is lost, the bone that used to support the tooth begins to deteriorate. Dental implants mimic the root of your natural tooth, stimulating the jawbone and preventing this bone loss.
Secondly, dental implants are built to last. With the proper care, dental implants can last for decades, often outlasting other restorative options like bridges or dentures. This durability makes them a cost-effective solution in the long run.
Lastly, dental implants don't require altering the structure of adjacent teeth, unlike dental bridges. This ensures the conservation of your remaining natural teeth, contributing to overall oral health.


Are dental implant painful?

What expect at the consultation

What Happens on Treatment Day

This is the most common implant treatment as it replaces the gap left by a single tooth in either the front or back of your mouth. A single implant is placed in your jaw and once healed a crown is placed on top to fill the gap.

Dental bridges are used to replace multiple teeth. Implant bridges typically utilise 2 or more implants in order to replace sections of missing teeth. The implants act like pillars to which a bridge can be attached, “bridging” the gap in your smile.

Sometimes known as All-on-Four treatments when four to six implants are placed and support an entire arch of missing teeth. Full-mouth Implant dentures are a great alternative to removable dentures in that they function and look like natural and healthy teeth, but don’t need to be removed at night or for cleaning.

1

2

3
Placing and restoring implants when surrounding teeth have been damaged from a dysfunctional bite or bruxism (tooth grinding) is a common and unfortunate practice in dentistry. An exam and bite evaluation is important prior to implant treatment, especially if you’ve lost teeth due to a failed root canal or tooth fracture. Failing to address bite problems can perpetuate a very costly cycle of tooth loss and implant replacement without addressing the root cause.
Dental implants are small titanium screws that become the foundation for new teeth. They’re permanently placed into your jawbone, so they function like natural teeth roots and can last a lifetime. With careful planning and surgical protocols, dental implant treatments are extremely successful and complications are rare.
Dental implants are one of the most popular cosmetic dental procedures. Implants are tiny titanium posts that are placed into your jawbone to act as tooth roots. This can be used to replace a single tooth or multiple teeth, depending on your needs and health condition.
While bridges use surrounding teeth to anchor the bridge in place, an implant relies on its tight fit within the jaw for support. The restored tooth looks natural and feels just like a real one; it has no metal visible on the outside of your mouth and won’t feel any different when chewing food or talking with others! Because they’re so much stronger than dentures or other removable solutions, implants can last you decades longer than traditional solutions—meaning you’ll save money by avoiding frequent replacements over time!
Dental implants, when done well, look very natural. This is especially critical when replacing one or multiple front teeth. Proper planning for implant placement is done digitally with 3D imaging and often grafting of pre-surgery orthodontics is recommending to get ideal esthetic outcomes.
Dental implants are included in some insurance plans, but it is important to note that only part of the implant treatment is covered and can vary from 20%-50%. The patient is expected to pay the remaining balance.
Tuesday:
9:00 - 19:00
Thursday:
9:00 - 19:00
Alternate Saturdays:
9:00 - 13:00
© 2026 DR NAIZ KHAN - ALL RIGHTS RESERVED / SITE LAST UPDATED 02/04/2026 Designed and maintained by dentopia marketing
PRIVACY & COOKIE POLICY